Жизненный цикл клетки: митоз, интерфаза и фазы деления — таблица, набор хромосом, подготовка к ЕГЭ по биологии
Жизненный цикл клетки: Митоз
Жизненный цикл клетки представляет собой период существования клетки от момента её образования путём деления материнской клетки до собственного деления или гибели. Это фундаментальное понятие в биологии имеет ключевое значение для понимания процессов роста, развития и размножения организмов. Полный цикл включает два основных периода: интерфазу, занимающую до 90% времени жизни клетки, и период деления.
👉 Если тема клеточного цикла кажется перегруженной и сложно запомнить фазы и наборы хромосом — можно записаться на консультацию: разберём всё по логике, без заучивания и путаницы.
Записаться на консультацию можно по ссылке: shkolahimii.ru/
Интерфаза — это период активной жизнедеятельности и подготовки клетки к делению. Она подразделяется на три последовательные фазы: пресинтетический (G₁), синтетический (S) и постсинтетический (G₂) периоды.
Пресинтетический период (G₁) может длиться от нескольких часов до нескольких дней, а в случае специализированных клеток — ещё дольше. В это время происходит активный рост клетки, синтез всех видов РНК (иРНК, тРНК, рРНК) и интенсивный синтез белков, включая ферменты. Клетка увеличивает количество своих органелл (митохондрий, рибосом и других), накапливает энергию в виде АТФ и выполняет свои специализированные функции. На границе G₁/S находится контрольная точка, где происходит проверка целостности ДНК и оценка условий окружающей среды. В зависимости от результатов проверки клетка принимает решение: продолжить цикл или перейти в состояние покоя (G₀). В этот период набор хромосом составляет 2n2c, где 2n означает диплоидный набор хромосом, а 2c — количество ДНК, соответствующее однохроматидному набору.
Синтетический период (S) характеризуется ключевым событием — репликацией (удвоением) ДНК. Процесс репликации включает расплетение двойной спирали ДНК и сборку новых цепей по принципу комплементарности. Каждая новая молекула ДНК содержит одну старую и одну новую цепь, что называется полуконсервативной репликацией. Помимо этого, в S-фазе удваиваются центриоли клеточного центра и продолжается синтез РНК и белков, в том числе гистонов, необходимых для упаковки ДНК. Результатом становится то, что каждая хромосома становится двухроматидной, содержащей две молекулы ДНК. Набор хромосом изменяется с 2n2c на 2n4c. Длительность синтетического периода составляет 6−10 часов.
Постсинтетический период (G₂) длится 2−5 часов и посвящён подготовке клетки к делению. В это время синтезируются белки веретена деления (в частности, тубулин), накапливается АТФ для энергозатратного процесса деления, удваивается масса цитоплазмы, а также происходит деление митохондрий и хлоропластов (в растительных клетках). На контрольной точке G₂/M проверяется полнота и точность репликации ДНК, а при обнаружении повреждений запускается либо ремонт ДНК, либо апоптоз (программируемая клеточная гибель). Набор хромосом остаётся 2n4c.
Некоторые клетки выходят из цикла на стадии G₁ и переходят в состояние покоя (G₀), в котором могут находиться годами или десятилетиями, выполняя свои функции, но не делясь. К таким клеткам относятся нейроны, клетки сердечной мышцы, зрелые лимфоциты и некоторые эпителиальные клетки. При определённых условиях они могут вернуться в клеточный цикл.
Пресинтетический период (G₁) может длиться от нескольких часов до нескольких дней, а в случае специализированных клеток — ещё дольше. В это время происходит активный рост клетки, синтез всех видов РНК (иРНК, тРНК, рРНК) и интенсивный синтез белков, включая ферменты. Клетка увеличивает количество своих органелл (митохондрий, рибосом и других), накапливает энергию в виде АТФ и выполняет свои специализированные функции. На границе G₁/S находится контрольная точка, где происходит проверка целостности ДНК и оценка условий окружающей среды. В зависимости от результатов проверки клетка принимает решение: продолжить цикл или перейти в состояние покоя (G₀). В этот период набор хромосом составляет 2n2c, где 2n означает диплоидный набор хромосом, а 2c — количество ДНК, соответствующее однохроматидному набору.
Синтетический период (S) характеризуется ключевым событием — репликацией (удвоением) ДНК. Процесс репликации включает расплетение двойной спирали ДНК и сборку новых цепей по принципу комплементарности. Каждая новая молекула ДНК содержит одну старую и одну новую цепь, что называется полуконсервативной репликацией. Помимо этого, в S-фазе удваиваются центриоли клеточного центра и продолжается синтез РНК и белков, в том числе гистонов, необходимых для упаковки ДНК. Результатом становится то, что каждая хромосома становится двухроматидной, содержащей две молекулы ДНК. Набор хромосом изменяется с 2n2c на 2n4c. Длительность синтетического периода составляет 6−10 часов.
Постсинтетический период (G₂) длится 2−5 часов и посвящён подготовке клетки к делению. В это время синтезируются белки веретена деления (в частности, тубулин), накапливается АТФ для энергозатратного процесса деления, удваивается масса цитоплазмы, а также происходит деление митохондрий и хлоропластов (в растительных клетках). На контрольной точке G₂/M проверяется полнота и точность репликации ДНК, а при обнаружении повреждений запускается либо ремонт ДНК, либо апоптоз (программируемая клеточная гибель). Набор хромосом остаётся 2n4c.
Некоторые клетки выходят из цикла на стадии G₁ и переходят в состояние покоя (G₀), в котором могут находиться годами или десятилетиями, выполняя свои функции, но не делясь. К таким клеткам относятся нейроны, клетки сердечной мышцы, зрелые лимфоциты и некоторые эпителиальные клетки. При определённых условиях они могут вернуться в клеточный цикл.
Период деления клетки может проходить двумя путями: через митоз (для соматических клеток) или мейоз (для половых клеток).
Митоз — это непрямое деление соматических клеток, обеспечивающее генетическую идентичность дочерних клеток материнской. Он состоит из четырёх последовательных фаз.
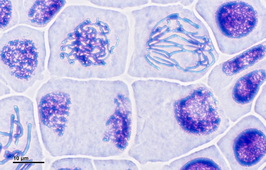
В профазе хроматин спирализуется, образуя видимые хромосомы, каждая из которых состоит из двух хроматид. Ядерная оболочка распадается на мелкие пузырьки, ядрышки исчезают, центриоли расходятся к полюсам клетки, и начинается формирование веретена деления. Набор хромосом на этой стадии — 2n4c.
Метафаза характеризуется максимальной спирализацией хромосом. Нити веретена деления прикрепляются к центромерам, и хромосомы выстраиваются по экватору клетки, образуя метафазную пластинку. На этом этапе действует контрольная точка веретена деления, проверяющая правильность прикрепления нитей. Набор хромосом сохраняется как 2n4c.
Анафаза начинается с деления центромер: хроматиды становятся самостоятельными хромосомами. Нити веретена деления укорачиваются, растягивая хромосомы к полюсам клетки. У каждого полюса оказывается одинаковый генетический материал. Временное суммарное содержание ДНК в клетке составляет 4n4c (пока клетка ещё не разделилась).
Телофаза завершает деление ядра: хромосомы деспирализуются и становятся невидимыми, вокруг них формируется новая ядерная оболочка, появляются ядрышки, а веретено деления разрушается. Набор хромосом в каждом новообразованном ядре — 2n2c.
Завершается деление цитокинезом — разделением цитоплазмы. В животных клетках это происходит через перетяжку (впячивание мембраны от периферии к центру), а в растительных — через образование клеточной пластинки (фрагмопласта) от центра к периферии. В результате образуются две генетически идентичные дочерние клетки с набором 2n2c.
Если вы хотите не просто выучить фазы, а научиться быстро определять наборы хромосом в заданиях ЕГЭ — запишитесь на диагностику, разберём это на практике и доведём до автоматизма.
Записаться можно по ссылке: t.me/vitaminka_xim
Митоз — это непрямое деление соматических клеток, обеспечивающее генетическую идентичность дочерних клеток материнской. Он состоит из четырёх последовательных фаз.
В профазе хроматин спирализуется, образуя видимые хромосомы, каждая из которых состоит из двух хроматид. Ядерная оболочка распадается на мелкие пузырьки, ядрышки исчезают, центриоли расходятся к полюсам клетки, и начинается формирование веретена деления. Набор хромосом на этой стадии — 2n4c.
Метафаза характеризуется максимальной спирализацией хромосом. Нити веретена деления прикрепляются к центромерам, и хромосомы выстраиваются по экватору клетки, образуя метафазную пластинку. На этом этапе действует контрольная точка веретена деления, проверяющая правильность прикрепления нитей. Набор хромосом сохраняется как 2n4c.
Анафаза начинается с деления центромер: хроматиды становятся самостоятельными хромосомами. Нити веретена деления укорачиваются, растягивая хромосомы к полюсам клетки. У каждого полюса оказывается одинаковый генетический материал. Временное суммарное содержание ДНК в клетке составляет 4n4c (пока клетка ещё не разделилась).
Телофаза завершает деление ядра: хромосомы деспирализуются и становятся невидимыми, вокруг них формируется новая ядерная оболочка, появляются ядрышки, а веретено деления разрушается. Набор хромосом в каждом новообразованном ядре — 2n2c.
Завершается деление цитокинезом — разделением цитоплазмы. В животных клетках это происходит через перетяжку (впячивание мембраны от периферии к центру), а в растительных — через образование клеточной пластинки (фрагмопласта) от центра к периферии. В результате образуются две генетически идентичные дочерние клетки с набором 2n2c.
Если вы хотите не просто выучить фазы, а научиться быстро определять наборы хромосом в заданиях ЕГЭ — запишитесь на диагностику, разберём это на практике и доведём до автоматизма.
Записаться можно по ссылке: t.me/vitaminka_xim
Понимание жизненного цикла клетки — основа для изучения многих биологических процессов: от размножения и развития организма до механизмов возникновения заболеваний. Особое внимание при подготовке к ЕГЭ стоит уделить правильному определению набора хромосом (n) и числа молекул ДНК (c) на разных стадиях цикла, а также механизмам регуляции и контроля клеточного деления. Эти знания помогут не только успешно сдать экзамен, но и глубже понять принципы функционирования живых систем.
Сводная таблица для запоминания
Спасибо за статью нашему куратору по биологии Николь Викторине.